Orthopaedic Hand & Wrist Surgeon — Sydney NSW
Wrist condition

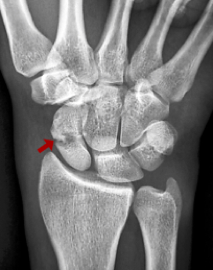
Scaphoid Fracture

Up to 20% of scaphoid fractures are missed on initial X-ray. Untreated, they progress to non-union and collapse. Early diagnosis and treatment is essential.

Scaphoid fracture

What is Scaphoid Fractures?

The scaphoid is the most commonly fractured carpal bone, accounting for 60–70% of carpal fractures. It typically fractures from a fall on an outstretched hand and is most common in young active men aged 15–40. The presentation is often subtle — pain in the anatomical snuffbox (base of thumb, radial wrist) — and is frequently dismissed as a sprain.

Up to 20% of scaphoid fractures are not visible on initial X-rays. An undiagnosed or inadequately treated scaphoid fracture has a high risk of non-union (failure to heal) due to the precarious blood supply of the proximal pole. Non-union leads predictably to SNAC (scaphoid non-union advanced collapse) wrist arthritis. Early diagnosis with MRI and appropriate treatment prevents this complication.

Symptoms

Symptoms
  • Pain in the anatomical snuffbox (thumb side, back of wrist)
  • Tenderness over the scaphoid bone
  • Swelling and bruising over the radial wrist after a fall
  • Pain with gripping, pinching, or weight-bearing through the wrist
  • Wrist pain after a fall that is more than a simple sprain
  • Persistent wrist pain weeks to months after an injury
How it is diagnosed
  • X-ray (AP, lateral, scaphoid views) — may miss up to 20% of fractures
  • MRI wrist — the gold standard for diagnosis; detects occult fractures within 24 hours
  • CT scan for surgical planning of displaced fractures
  • Bone scan if MRI is unavailable

Non-surgical Treatment

Non-surgical options
  • Below-elbow or thumb spica cast for undisplaced waist fractures
  • Typically 8–12 weeks of cast immobilisation
  • Serial X-ray or CT imaging to confirm healing
  • Close monitoring is essential — cast does not guarantee healing
When to consider surgery
Percutaneous headless compression screw fixation is the preferred treatment for displaced fractures, proximal pole fractures, and active patients who prefer faster recovery. Screw fixation accelerates union and allows earlier return to activity. For established non-union, bone grafting (including vascularised bone graft) restores the blood supply and promotes healing.
Percutaneous screw fixationBone grafting for non-unionDay surgeryEarly return to activity

Recovery Expectations

Typical recoveryCast: 8–12 weeks immobilisation, then physiotherapy. Screw fixation: splint 4–6 weeks, return to light activities 6–8 weeks, sport and heavy work at 3–4 months. Non-union surgery: 3–6 months for full recovery.

When to see a Hand Surgeon

Seek specialist assessment if:Any wrist pain in the anatomical snuffbox after a fall — especially if pain persists beyond 1–2 weeks. A normal X-ray does not exclude a scaphoid fracture — request MRI if clinical suspicion is high. Known non-union or progressive wrist pain after an old scaphoid injury.

Frequently asked questions

Common questions about scaphoid fractures, answered by Dr David Ma.

Up to 20% of scaphoid fractures are not visible on initial X-ray. MRI can detect scaphoid fractures with near 100% sensitivity and should be performed within 24–72 hours of injury if clinical suspicion is high. Early diagnosis prevents the progression to non-union.
Untreated scaphoid fractures have a high rate of non-union due to the poor blood supply of the proximal scaphoid. Non-union leads to a predictable pattern of wrist arthritis (SNAC wrist) over years, causing progressive pain and stiffness.
Not always. Undisplaced waist fractures can be managed in a cast, though healing takes 8–12 weeks and is not guaranteed. Percutaneous screw fixation is preferred for active patients, displaced fractures, or proximal pole fractures because it reliably accelerates union and allows an earlier return to activity.
Non-union means the fracture has not healed. It typically occurs when a fracture was missed, treated inadequately, or in fractures at the proximal pole where blood supply is poor. Treatment involves bone grafting to stimulate healing.
A GP referral is recommended for Medicare rebates but not required to book.
Dr David Ma treats scaphoid fractures with screw fixation and bone grafting at accredited Sydney facilities. Consultations at Chatswood (North Shore — Lane Cove, Willoughby, Artarmon, St Leonards, Gordon) and Strathfield (Inner West — Burwood, Homebush, Rhodes, Concord, Auburn, Newington). Call (02) 8112 8569 or email admin@drdavidma.com.